Before & After Smile Gallery
Welcome to our before and after gallery showcasing the amazing results of braces! See the incredible transformations our patients have experienced and get inspired for your own journey towards a healthier, happier smile. We’re here to support you every step of the way. Let’s get started!
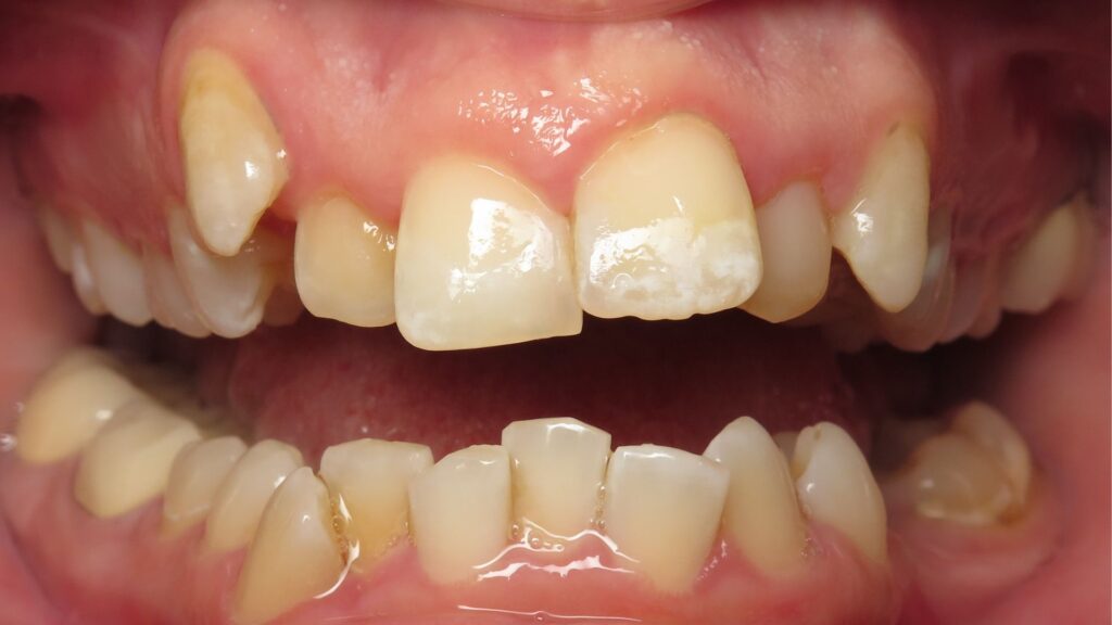
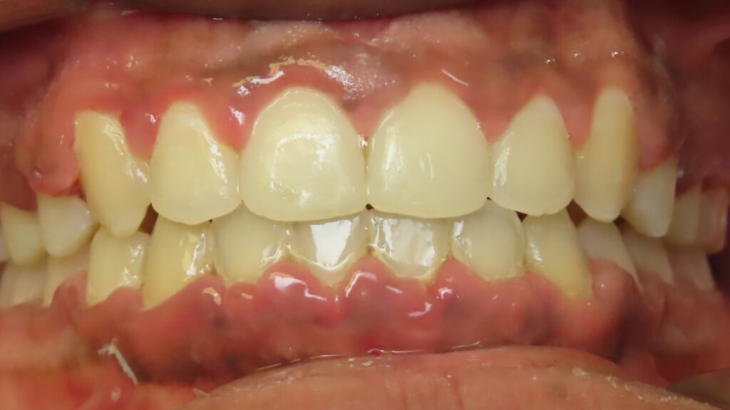
Crowding
Crowding refers to insufficient space in the jaw for teeth to fit properly, leading to overlapping or twisted teeth.
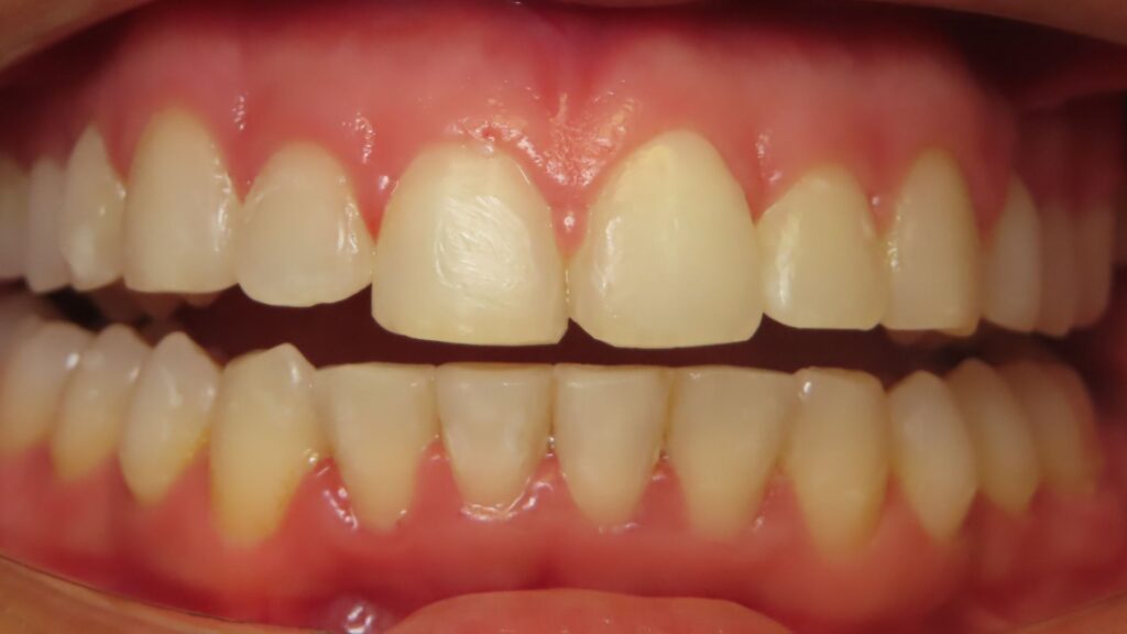
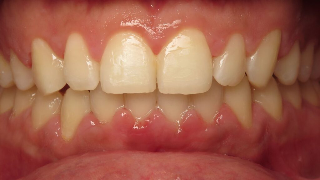
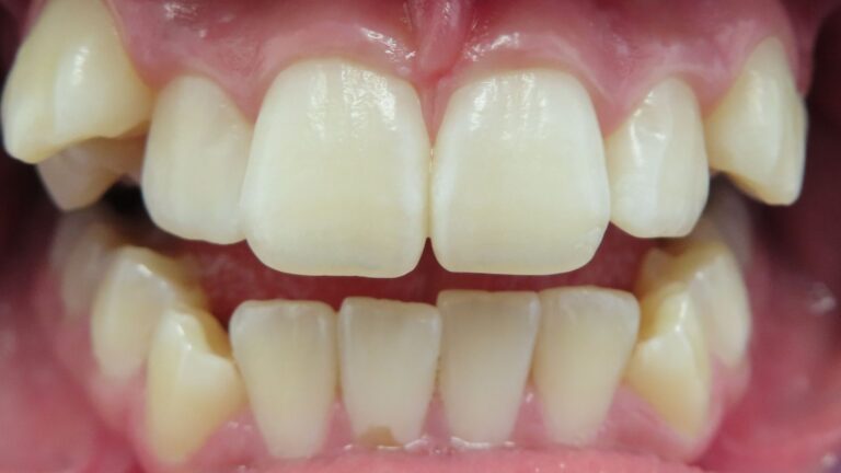
AFTER
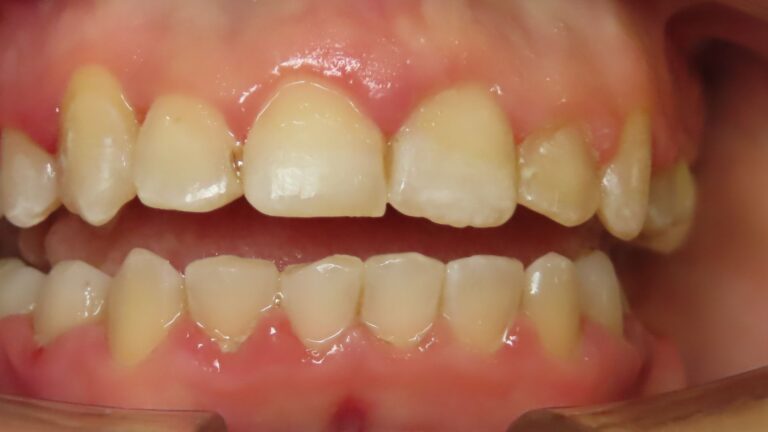
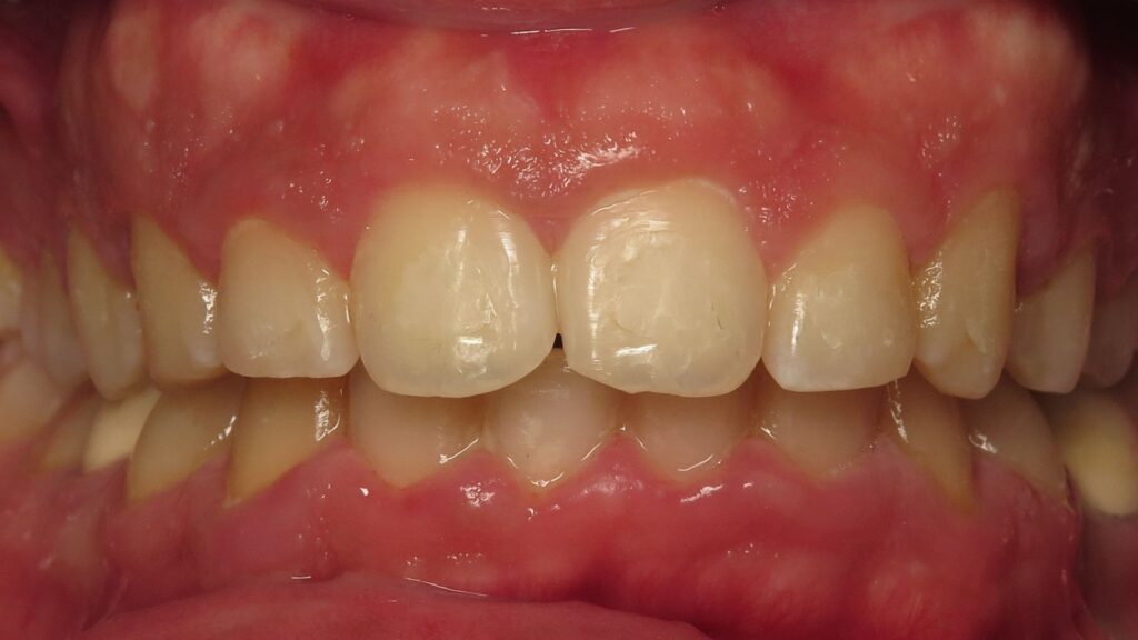
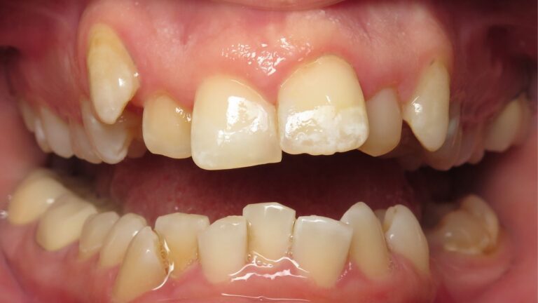
BEFORE
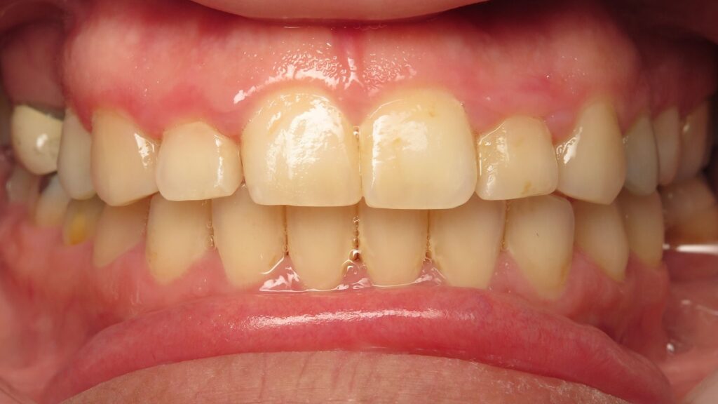
AFTER
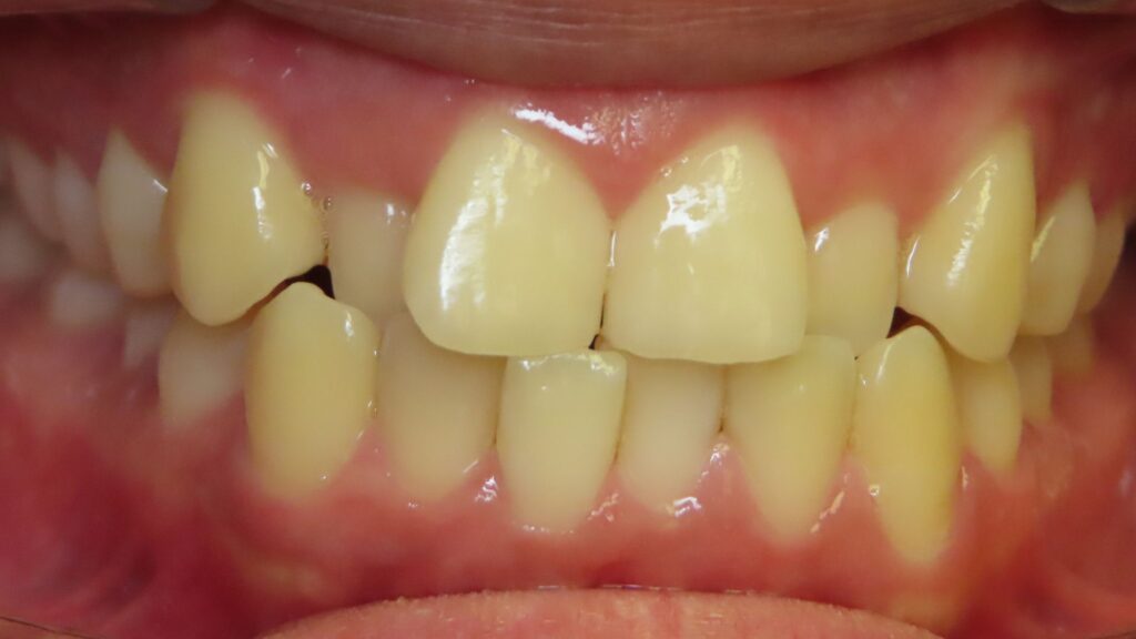
BEFORE
AFTER
BEFORE
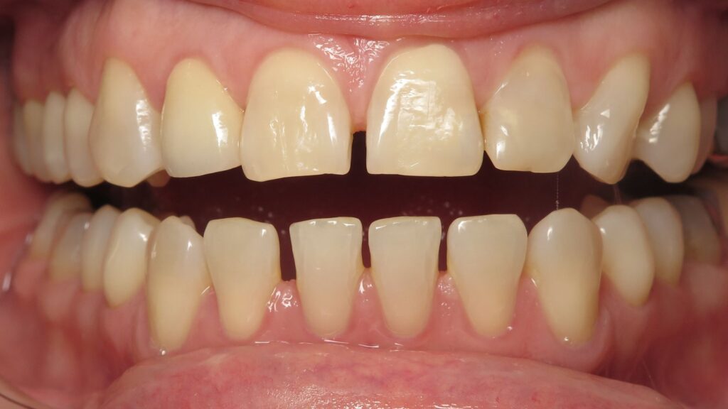
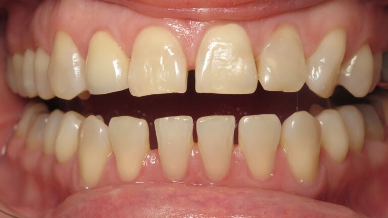
AFTER
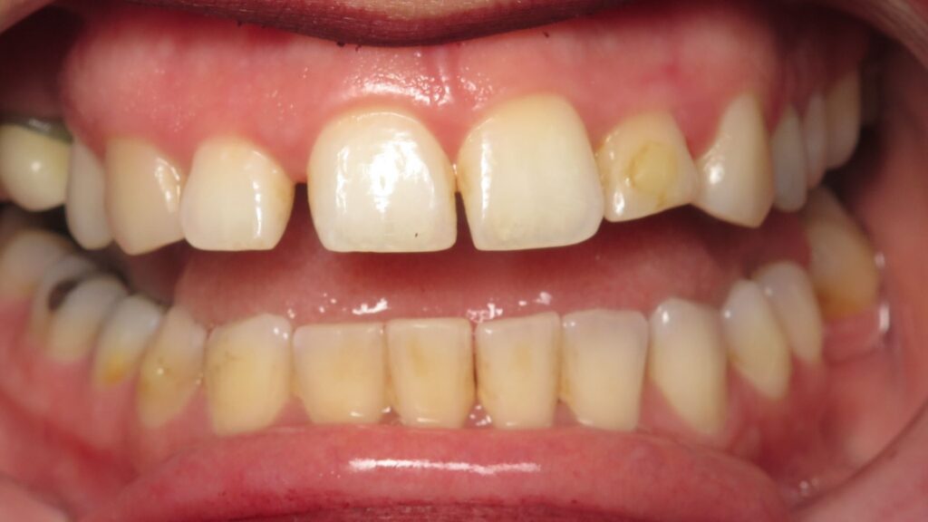
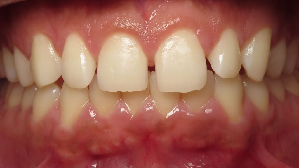
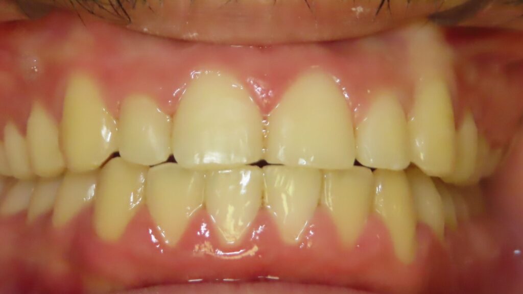
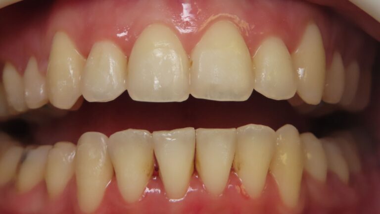
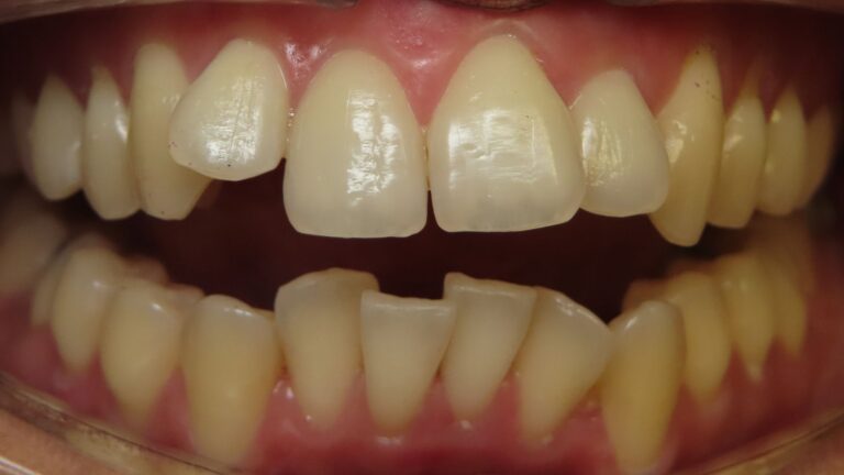
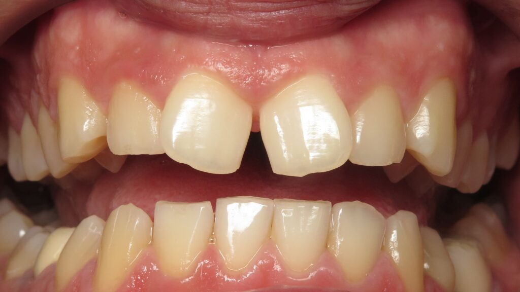
BEFORESpacing
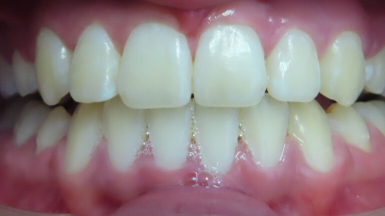
Spacing refers to gaps or spaces between teeth that can impact dental hygiene and appearance.
AFTER
BEFORE
AFTER
BEFORE
AFTER
BEFORE
AFTER
BEFORECrossbite
Crossbite is a dental condition where the upper teeth and lower teeth do not properly align when the jaws are closed. Specifically, crossbite occurs when one or more of the upper teeth are positioned inside the lower teeth when the jaws are closed.
AFTER
BEFORE
AFTER
BEFORE
AFTER
BEFORE
AFTER
BEFOREOverbite
Overbite refers to a misalignment of the teeth and jaw where the upper teeth are positioned too far forward in relation to the lower teeth.
AFTER
BEFORE
AFTER
BEFORE
AFTER
BEFORE
AFTER
BEFORE
